Clínica Dental Mejor Valorada en Madrid
Bienvenido a MAG Dental Madrid, la mejor clínica dental en Madrid especializada en implantología avanzada, implantes en el día con garantía de por vida, carillas de alta estética, cirugía oral y ortodoncia invisible. Ubicados en Hortaleza, somos una clínica dental cerca de ti, comprometida con ofrecer tratamientos personalizados, tecnología de vanguardia y resultados que transforman sonrisas con naturalidad y precisión.
Pide tu cita sin coste hoy mismo.
Si buscas una clínica dental en Madrid que combine tecnología, estética y confianza, te esperamos en MAG Dental Madrid (Hortaleza).
Llámanos, reserva tu cita online o visítanos directamente en Google Maps buscando mejor clínica dental Madrid centro o clínica dental cerca de mí.
MAG Dental Madrid – Mejor clínica dental en Madrid
Mejor Clínica Dental Madrid para implantes y estética dental
Bienvenido a MAG Dental Madrid, tu clínica dental en Madrid especializada en implantología avanzada, implantes en el día con garantía de por vida, carillas de alta estética, cirugía oral y ortodoncia invisible. Con más de 30 años de experiencia, ubicados en Hortaleza, Madrid, somos una clínica dental cerca de ti, comprometida con ofrecer tratamientos personalizados, tecnología de vanguardia y resultados que transforman sonrisas con naturalidad y precisión.
El Dr. Alejandro Prieto es el fundador y director, especializado en cirugía avanzada, implantología, regeneración de hueso y estética dental. Es ponente internacional en implantología y regeneración ósea. Además, forma a otros profesionales mediante cursos prácticos y estancias clínicas.
Nuestro equipo certificado utiliza tecnología digital avanzada (fotogrametría PIC pro, diseño digital de sonrisa, rehabilitaciones de boca completa en el día) y materiales biocompatibles premium para lograr resultados seguros, naturales y duraderos. Trabajamos con las mejores marcas de implantes dentales.
Los pacientes nos sitúan entre las mejores clínicas dentales de Madrid en TopDoctors y Doctoralia, destacando nuestra atención personalizada y tratamientos modernos.
Primera visita sin coste. Confía tu sonrisa a expertos cualificados: tu dentista de urgencias Madrid y especialista en tratamientos dentales.
Nuestros Tratamientos Dentales en tu Clínica Dental en Madrid
En nuestra clínica dental en Madrid, somos expertos en implantes dentales, tratamientos de estética dental (blanquemiento, carillas), ortodoncia, cirugía oral, prótesis (dientes en un día), periodoncia, endodoncia , entre otras áreas. Usamos sedación consciente cuando sea necesario. Cuidamos de tu boca tanto en adultos como en niños. Además, en nuestra clínica dental en Madrid te ofrecemos opciones de financiación a tu medida.

IMPLANTES DENTALES
Somos expertos en implantes dentales en nuestra clínica dental en Madrid. Garantizamos un resultado perfecto, duradero y natural hasta en los casos más complejos.

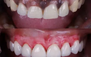
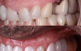
CARILLAS DENTALES
Somos especialistas en estética dental y carillas dentales. Nuestros dentistas en Madrid han trabajado cientos de casos de carillas dentales, con los resultados más naturales.

ORTODONCIA
Contamos con las últimas soluciones de ortodoncia, también ortodoncia invisible para alinear tus dientes en tiempo record en nuestra clínica dental en Madrid.
ÚLTIMAS TECNOLOGÍAS
NUESTRAS INSTALACIONES
Contamos con 6 gabinetes perfectamente equipados y un quirófano de referencia entre las clínicas dentales en Madrid, donde realizamos las cirugías dentales más complejas aplicando la última tecnología dental. Estamos constantemente mejorando las instalaciones para darte los mejores resultados en implantología y cirugía de Madrid.
¿DÓNDE ENCONTRARNOS?
CONTACTA CON NOSOTROS
¡1ª Visita gratis!
Testimonios
En MAG Dental Madrid queremos que empieces a sonreír desde el primer día: tu primera visita no tiene coste. Ya sea una revisión rutinaria, un tratamiento estético o una urgencia dental, nuestra Clínica dental MAG Dental Madrid, en Hortaleza, Madrid, es reconocida por ofrecer excelencia en cada visita.
PIDE YA TU CITA ONLINE
¿Tienes alguna pregunta o necesitas más información? Nuestro equipo estará encantado de ayudarte y solucionar tus dudas. Ponte en contacto con nosotros a través de este formulario, nuestra dirección de e-mail o por teléfono ¡También atendemos WhatsApp!
Artículos Recientes
Sobre Madrid, España
Madrid es la capital de España y una de las ciudades más visitadas de Europa. Situada en el centro del país, es el corazón político, cultural y económico de la nación. En la ciudad viven más de 3 millones de personas y, junto con su área metropolitana, supera los 6 millones de habitantes. Madrid es conocida por su historia y su vida moderna. Aquí se encuentran lugares emblemáticos como el Palacio Real (28013), la Puerta del Sol (28012), el Parque del Retiro (28009) y museos de renombre como el Prado (28014) y el Reina Sofía (28012).
La ciudad cuenta con un excelente transporte público: metro, trenes de alta velocidad y el aeropuerto internacional Adolfo Suárez Madrid-Barajas (28042), lo que la conecta fácilmente con el resto de España y el mundo. Con un clima mayormente soleado y una vida cultural y gastronómica muy activa en barrios como Salamanca (28006) y Chamberí (28010), Madrid combina tradición y modernidad, convirtiéndose en un lugar ideal para vivir, trabajar y disfrutar.













